QU'EST CE QUE L'ENDODONTIE ?
L'endodontie est la discipline de la dentisterie qui s'occupe de traiter les problèmes liés à la partie interne (endo) de la dent où se trouve la pulpe (nerf) . L'objectif des soins endodontiques est de préserver les dents.
Cette discipline a fait d'incroyables progrès durant les 20 dernières années (microscope, Radio 3 D.....) ce qui permet aujourd'hui de traiter et de sauver des dents qui autrefois devaient être extraites.
La pulpe:
Au centre de la dent se trouve la pulpe. La pulpe est constituée de cellules, de vaisseaux, de nerfs et de différents tissus. C'est elle qui assure la "vitalité" de la dent. C'est la raison pour laquelle, lorsqu'on doit l'éliminer, il est communément dit que l'on dévitalise la dent.


Les pathologies de la pulpe:
L’inflammation ou l’infection de cette pulpe peut survenir suite à une carie (1),à un traumatisme, une fracture, ou à des traitements dentaires répétés sur la même dent.
L’inflammation (2) (pulpite) de la pulpe est en général très douloureuse. Ce syndrome est appelé plus communément la «rage de dent».
L’infection (3) (nécrose) de la pulpe : lorsque les bactéries pénètrent dans la pulpe, elles provoquent une infection de celle-ci.En l’absence de traitement, les bactéries vont cheminer le long des canaux de la dent jusqu’à atteindre le bout de la racine.
Dès que les bactéries entrent en contact avec l’os, ils déclenchent la formation d’un granulome (plus connu sous le nom de Kyste) (4) dans l’os de la mâchoire. L’infection d'une dent peut rester asymptomatique (sans douleurs et sans gènes) pendant plusieurs mois voire plusieurs années et se manifester tardivement par l’apparition d’un abcès ou de douleurs très importantes notamment au moindre contact de la dent. Un granulome peut donc être découvert par hasard par votre dentiste lors d'une radiographie de contrôle.


Le traitement endodontique:
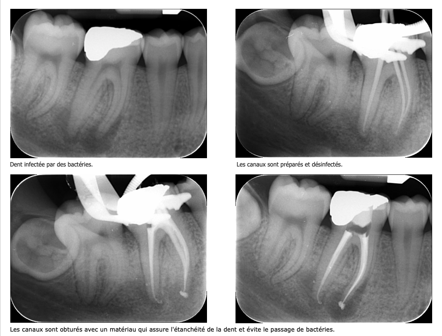
En présence d'une inflammation irréversible ou d'une infection , le chirurgien dentiste est amené à réaliser un traitement endodontique qui permet de supprimer l’ensemble des tissus infectés se trouvant dans les canaux radiculaires.
Au cours de ce traitement, l’ensemble des canaux sont nettoyés, désinfectés et enfin obturés afin d’éviter toute réinfection.
Ce traitement est réalisé sous anesthésie locale, comme n’importe quel soin. Le traitement endodontique permettra de désinfecter l’ensemble des canaux.
Une fois les bactéries éliminées, le granulome va spontanément disparaître et l'os va se reconstruire progressivement de la même manière qu'une fracture se répare.
La cicatrisation de la lésion peut nécessiter entre 6 et 48 mois en fonction de sa taille.
Une dent infectée n'est pas forcément douloureuse, mais nécessite un traitement pour éviter une complication osseuse.
Une fois que le traitement endodontique est réalisé, il est impératif de restaurer rapidement la partie abimer de la dent par votre praticien traitant, afin d’une part de prévenir la réapparition de bactéries dans les canaux, et d’autre part de consolider la dent pour éviter qu’elle ne se fracture . En fonction de son délabrement votre dent sera reconstituée par votre praticien soit par un composite, un inlay, un onlay ou une couronne prothétique. Pour suivre et contrôler le processus de cicatrisation, des contrôles radiographiques peuvent s’avérer nécessaire.




Le retraitement endodontique:
Quand le premier traitement réalisé n’est pas satisfaisant, un retraitement est à envisager afin de traiter ou prévenir la formation d'un kyste.
Ce type de lésion osseuse apparait, lorsqu'une petite partie du canal n'est pas désinfectée et obturée. Il est indispensable que tout le volume canalaire de la dent soit nettoyé et obturé.
Après avoir éliminé le matériau d’obturation existant et après avoir contourné les différents obstacles (démontage des prothèses et/ou des tenons, suppression des fragments d’instruments fracturés dans le canal, récupération des trajectoires canalaires, etc…), tous les canaux sont à nouveau nettoyés, désinfectés et obturés.


La micro-chirurgie endodontique:
Dans certaines situations cliniques, il est impossible de faire pénétrer les instruments sur toute la longueur du canal. Ceci peut arriver dans les conditions suivantes :
présence d’un instrument fracturé lors du traitement préalable,
calcification naturelle du canal considéré,
anatomie particulière de la dent à traiter
Dans ces cas, la chirurgie endodontique peut permettre de résoudre le problème.
1- Le traitement endodontique vient d’être effectué. Après une période d’observation variant de 6 mois à un an, les clichés radiographiques ne laissent présager d’aucune amélioration.
2- Suite à un traitement ou un retraitement endodontique, des douleurs persistent pendant plusieurs semaines.
Dans ces deux cas, une chirurgie endodontique peut être envisagée.
Dans un premier temps, une petite incision est réalisée sur la gencive ce qui permet de la soulever et d'accéder à la portion de la racine qui est infectée. L'os infectée est nettoyé et l'extrémité de la racine est sectionnée.
Le canal est alors nettoyé et obturé sur les 3 ou 4 mm qui n’avaient pu être accessibles lors du traitement endodontique.
La gencive est ensuite remise en place par des points de sutures.
Après quelque mois, la lésion est progressivement remplacée par de l’os sain.








